依德牙科美學團隊
  • 首頁
  • 關於依德
    • 診所理念
    • 牙醫團隊
    • 設備環境
  • 牙齒修復專家
    • 陶瓷嵌體簡介
    • 成功案例
    • 多項國際認證
    • 授課/演講花絮
  • 彰化牙齒矯正
  • 人工植牙
  • 治療項目
    • 牙齒矯正
    • 植牙
    • 全口重建
    • 根管治療
    • 牙齒美白
    • 陶瓷貼片
    • 牙周治療
    • 補蛀牙/牙體復形
    • 健保看牙
  • 最新消息
  • 立即預約
  • 門診時間
Select Page
成功案例

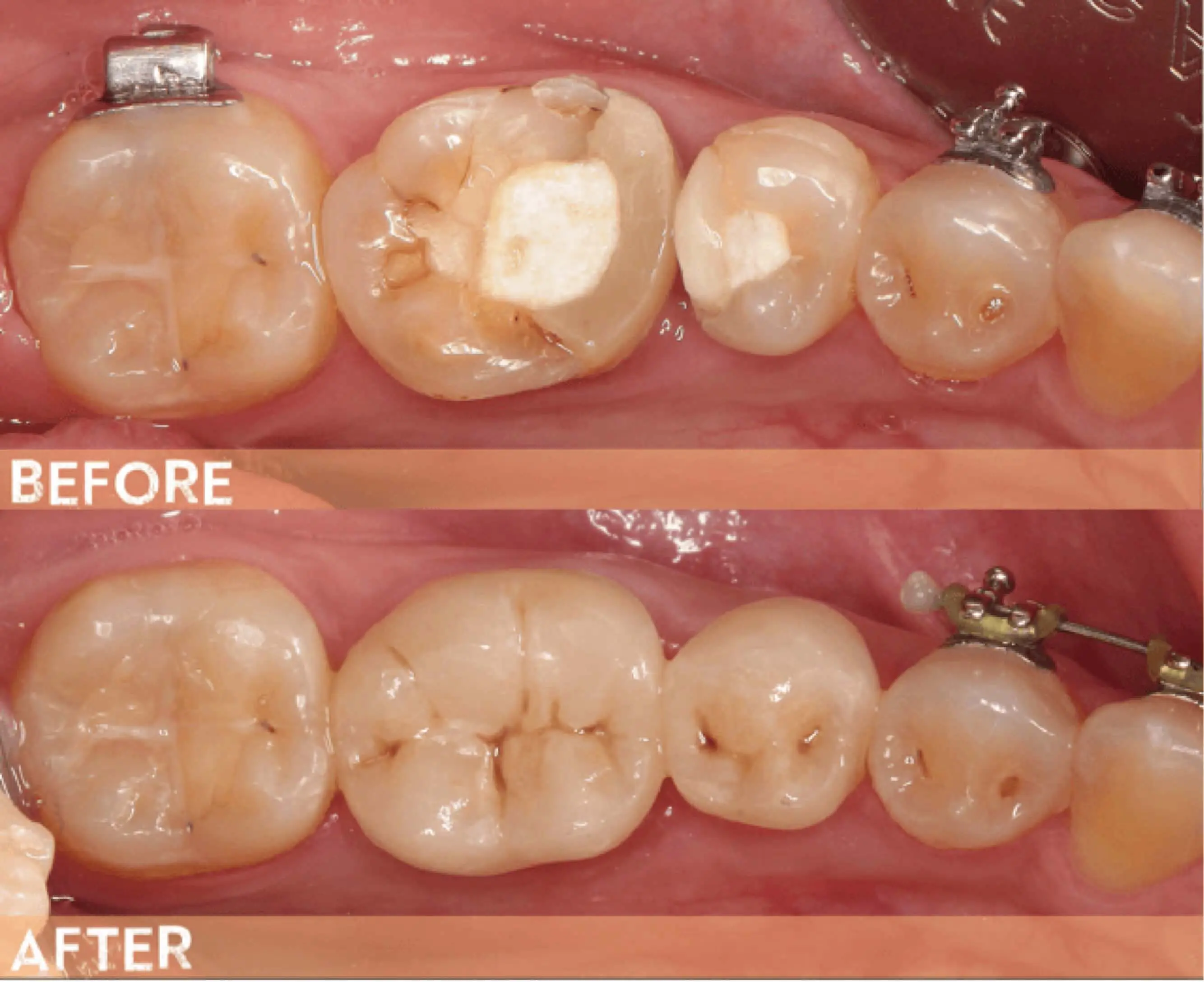
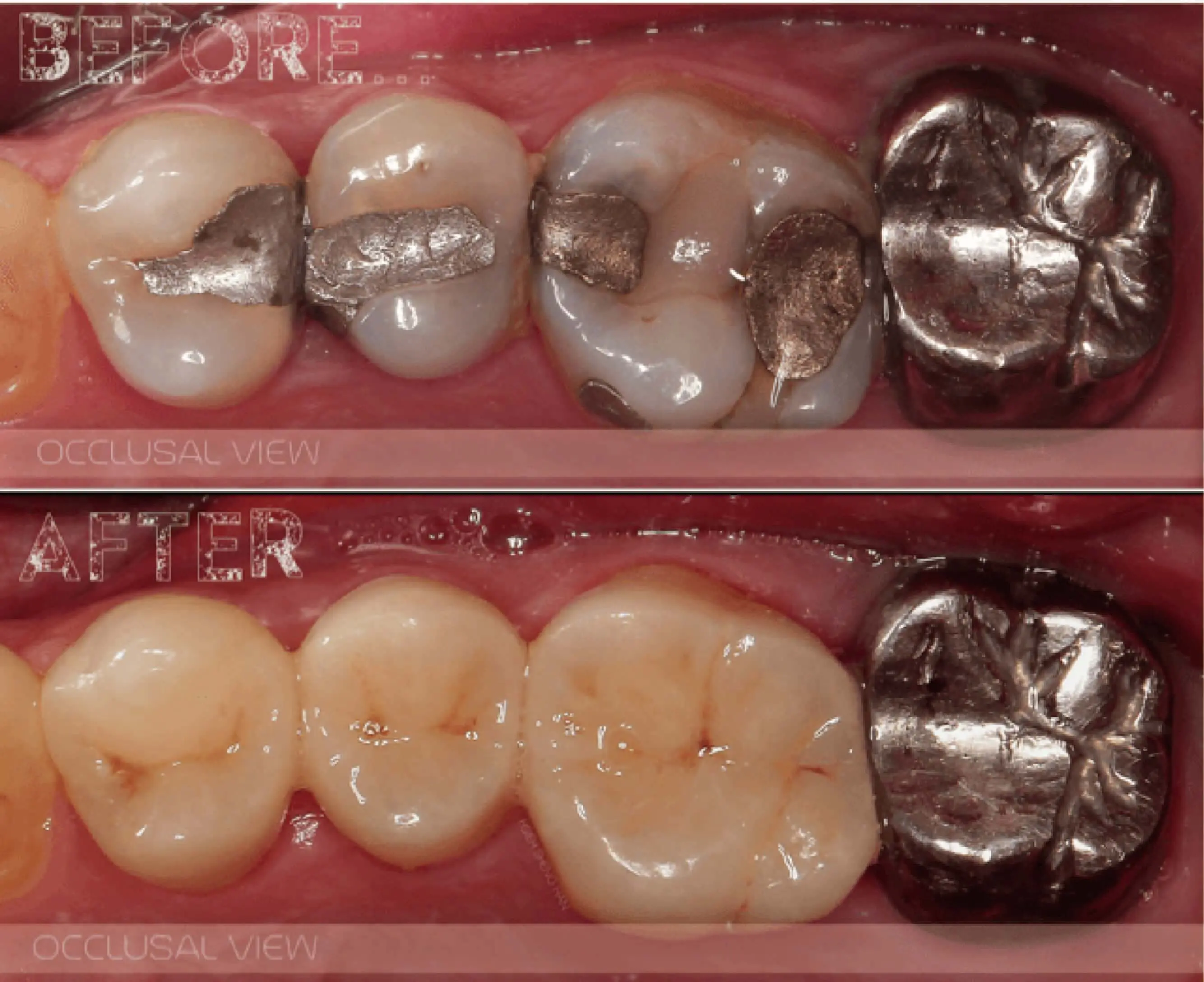
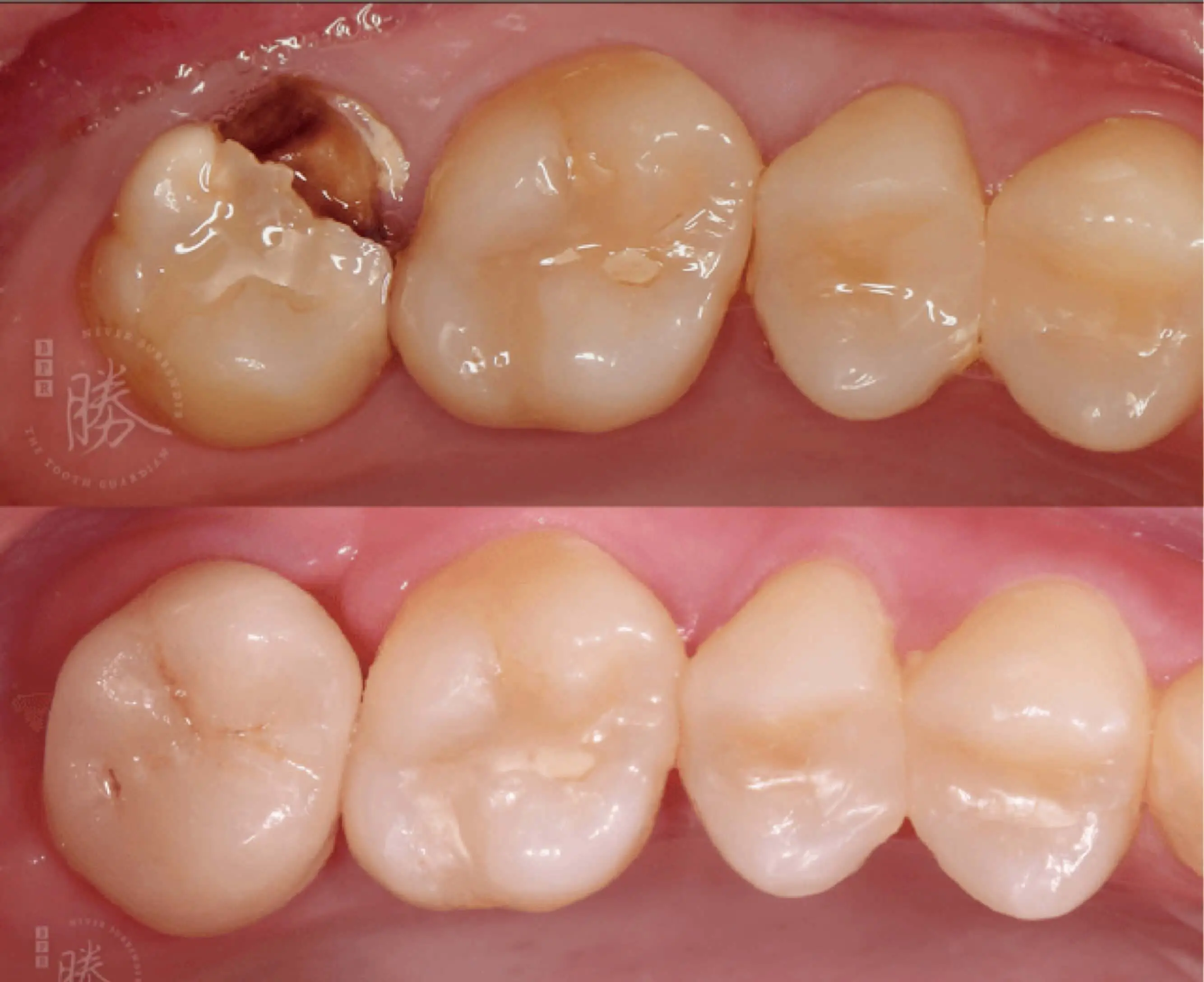
謝勝涵醫師 / 嵌體作品

立即預約

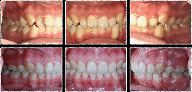
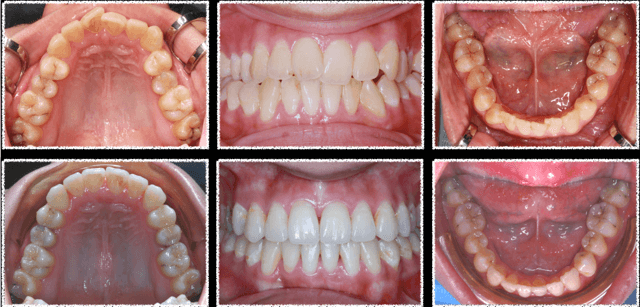
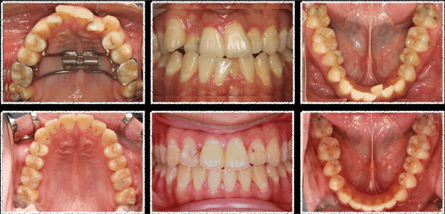
黃荷薰醫師 / 矯正作品

立即預約

電話:04 724 6382

地址:500彰化縣彰化市中正路二段192號

版權所有©2018 All Rights Reserved. By謝牙醫診所

粉絲專頁

診所位置